ARTROSKOP
CENTRUM MEDYCZNE
BOGDAN WZIĘTEK
GABINET
ORTOPEDYCZNY
DR. N. MED. BOGDAN WZIĘTEK
Poradnie
Poradnia ortopedyczno urazowa
Poradnia Neurologiczna
Poradnia chirurgiczna
Gabinet Chirurgii Naczyniowej
Poradnia Rehabilitacyjna
Medycyna Sportowa
Centrum rehabilitacji w Trzebini
Szpital Jednodniowy Artroskop
Diagnostyka
Diagnostyka MRI
Diagnostyka RTG
Diagnostyka USG
Diagnostyka podologiczna
Diagnostyka Laboratoryjna
Sklep medyczny Artroskop
DR N. MED. BOGDAN WZIĘTEK
Życiorys
Kwalifikacje
Artykuły
Publikacje
Organizacje
Pytania
Cennik
Poradnie
Poradnia ortopedyczno urazowa
Poradnia Neurologiczna
Poradnia chirurgiczna
Gabinet Chirurgii Naczyniowej
Poradnia Rehabilitacyjna
Medycyna Sportowa
Centrum rehabilitacji w Trzebini
Szpital Jednodniowy Artroskop
Diagnostyka
Diagnostyka MRI
Diagnostyka RTG
Diagnostyka USG
Diagnostyka podologiczna
Diagnostyka Laboratoryjna
Sklep medyczny Artroskop
DR N. MED. BOGDAN WZIĘTEK
Życiorys
Kwalifikacje
Artykuły
Publikacje
Organizacje
Pytania
Cennik
Pracownia Rezonansu Magnetycznego
Magnetoterapia kolan
Artroskop
Sklep medyczny
Ćwiczenia na szynie mechanicznej do ruchu biernego
Dr Wziętek
Pracownia RTG
Sala Gimnastyczna
Poczekalnia
Sala Operacyjna
Sklep Medyczny
Kontakt >>
REJESTRACJA TELEFONICZNA
(32) 223 61 77
(32) 441 78 60
We speak English, Wir sprechen Deutsch, Мы говорим по-русски
pon-pt: 7.oo - 2o.oo
Masz pytania?
dr@wzietek.pl
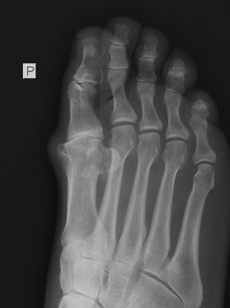
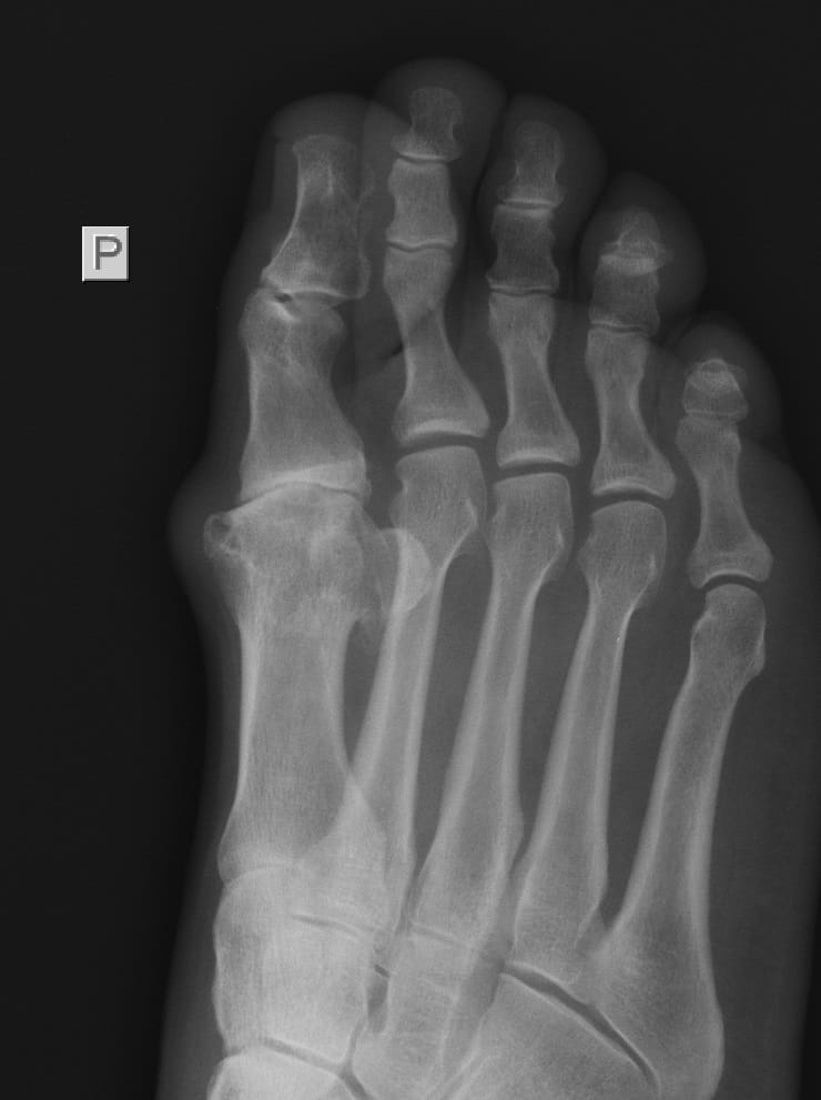
Leczenie operacyjne palucha koślawego (Halluxa)_8
☎